Lana Skendzic
Vysoce estetické zubní náhrady
Výjimečný talent, umělecké cítění a zkušenosti ze světa
S radostí oznamujeme, že se náš tým rozšířil o Lanu Skendzic – zubní techničku, jejíž výjimečný talent, umělecké cítění a pokora z ní dělají skutečnou posilu našeho týmu. ✨
Lana se již více než 15 let specializuje na tvorbu vysoce estetických fixních náhrad ze všech dostupných materiálů. Její práce se může měřit s nejlepšími světovými techniky a vyznačuje se precizností i smyslem pro detail.
Od roku 2014 působila jako vedoucí keramického oddělení v jedné z nejuznávanějších zubních laboratoří v australském Sydney, kde získala bohaté zkušenosti a zdokonalila svůj mistrovský rukopis. 🌏💎
Lana Skendzic
Výběr barvy jako základ precizní práce
Lana ví, že správná volba barvy zásadně ovlivňuje spokojenost pacienta i celkový výsledek. Ke každému případu přistupuje individuálně a klíčový důraz klade na úvodní konzultaci, kde detailně analyzuje očekávání a estetické požadavky.
Na základě těchto informací připravuje přesné podklady včetně fotografické dokumentace, která umožňuje detailní kontrolu odstínu i výsledného vizuálního efektu.
Díky svým zkušenostem, pečlivosti a citu pro detail dosahuje Lana výsledků, které splňují vysoké odborné nároky i individuální očekávání pacientů.
Chcete, aby vaši zakázku zpracovala Lana Skendzic?
Při zadávání položky do aplikace napište „Lana“ a systém vám automaticky nabídne:
01001 – Lana Skendzic – nadstandardní estetika – příplatek 1 200 Kč
Přidejte položku k produktu z vámi zvoleného materiálu. Aplikace automaticky přiřadí zakázku Laně, která si přečte váš komentář s přáním vás či pacienta. S Lanou můžete komunikovat i telefonicky 💬 – mluví perfektně česky, domluvíte se i anglicky. V Brně a okolí může přijet do ordinace 🦷, nejvhodnější je ale poslat pacienta k nám do laboratoře, kde má ideální podmínky pro práci a konzultaci estetiky ✨.

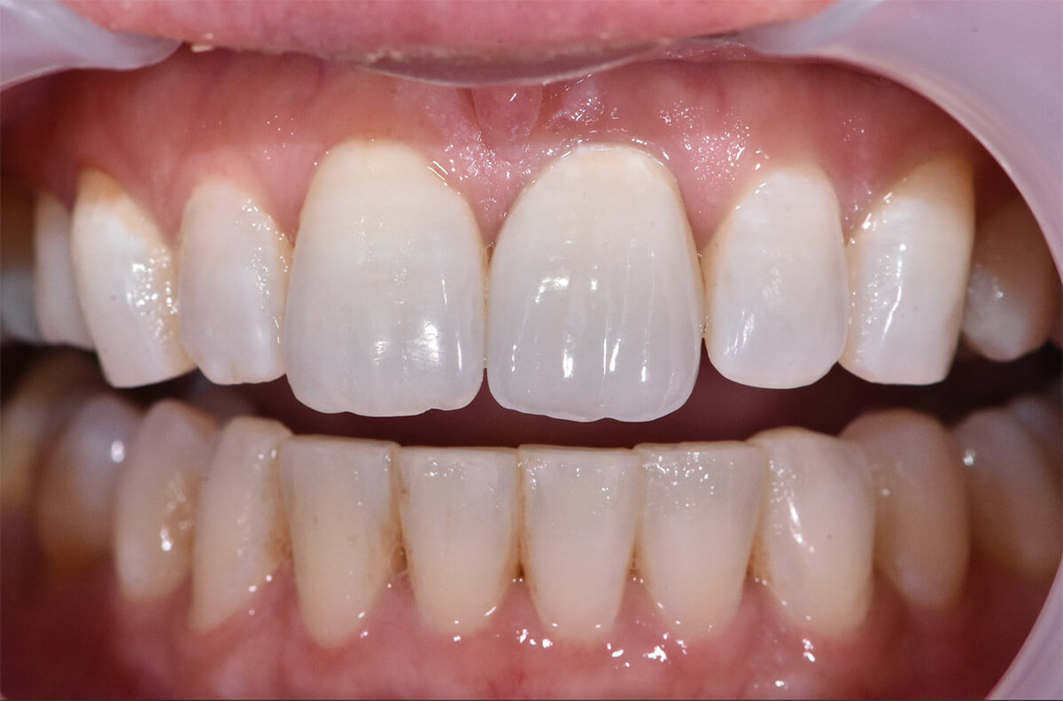
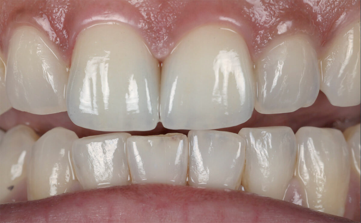
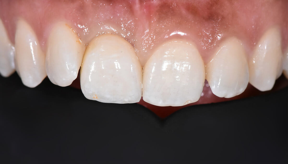
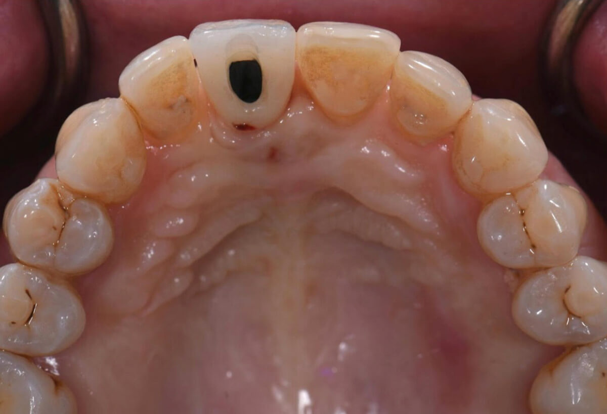
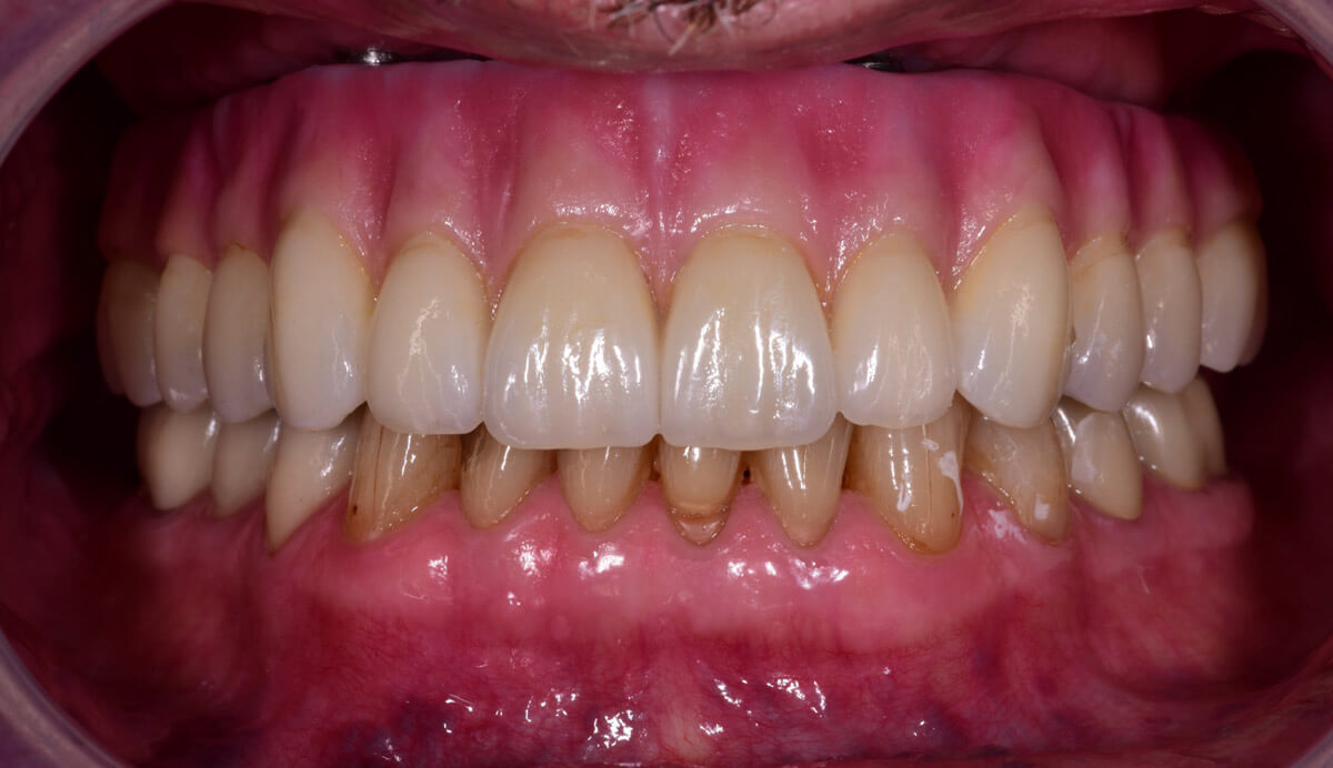
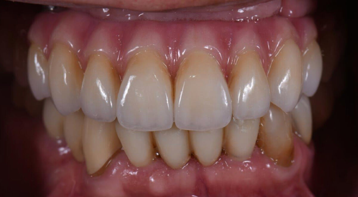
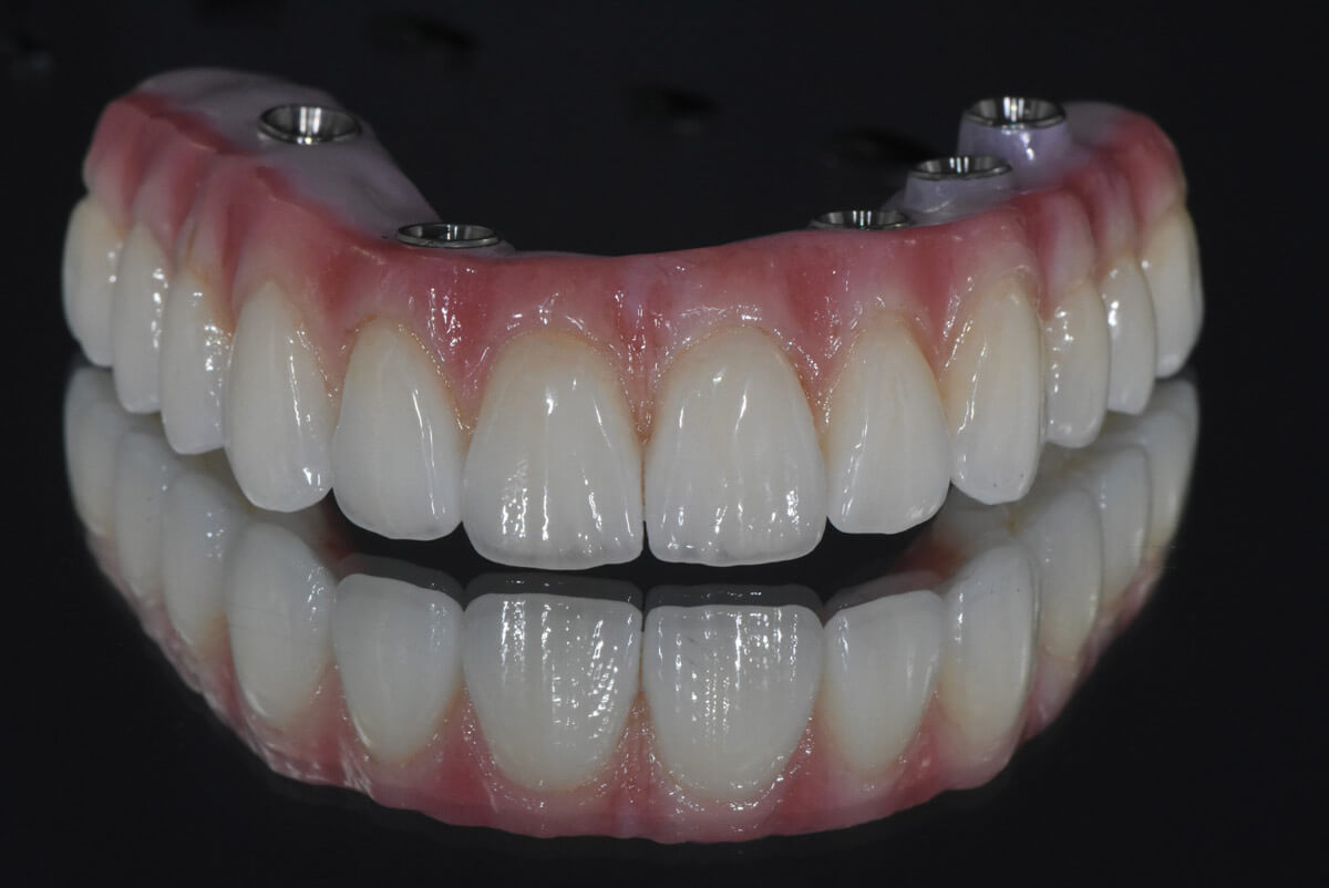
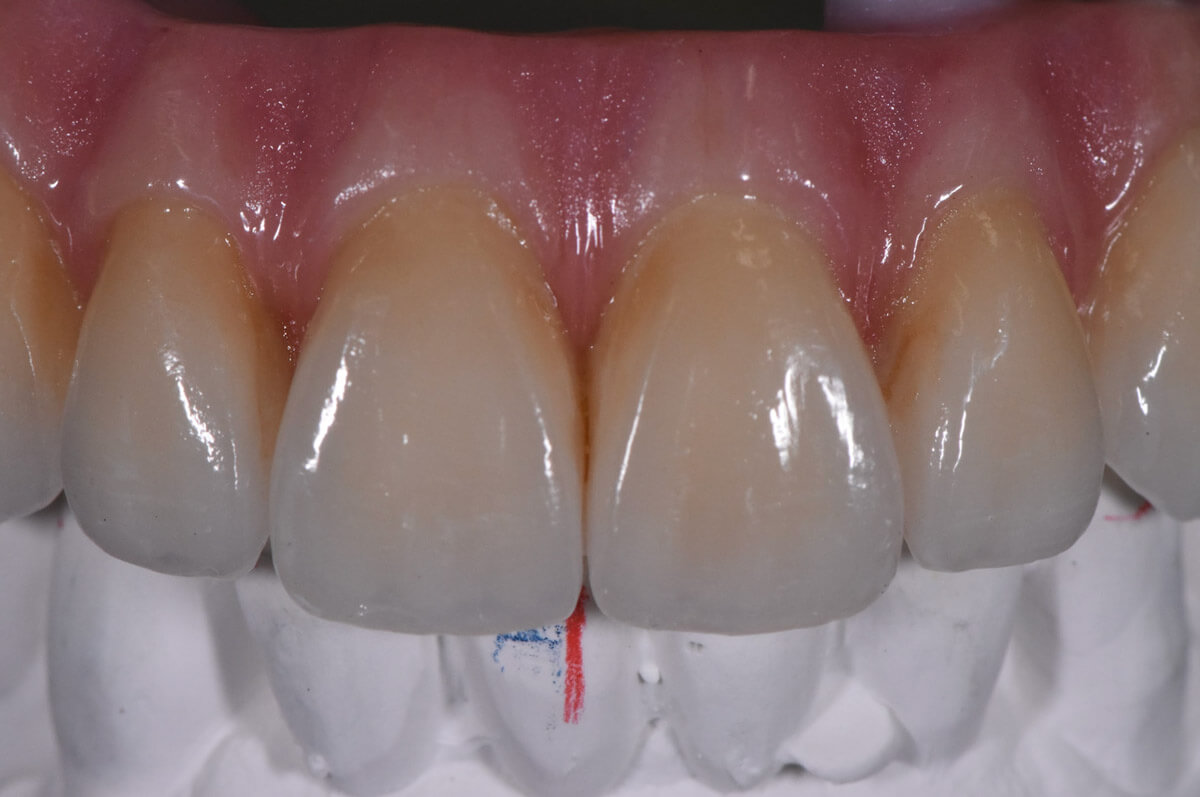
Fotogalerie
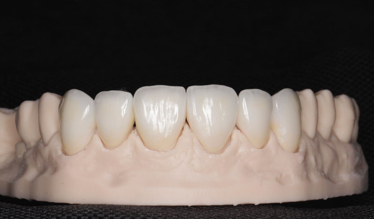
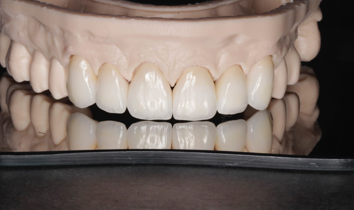
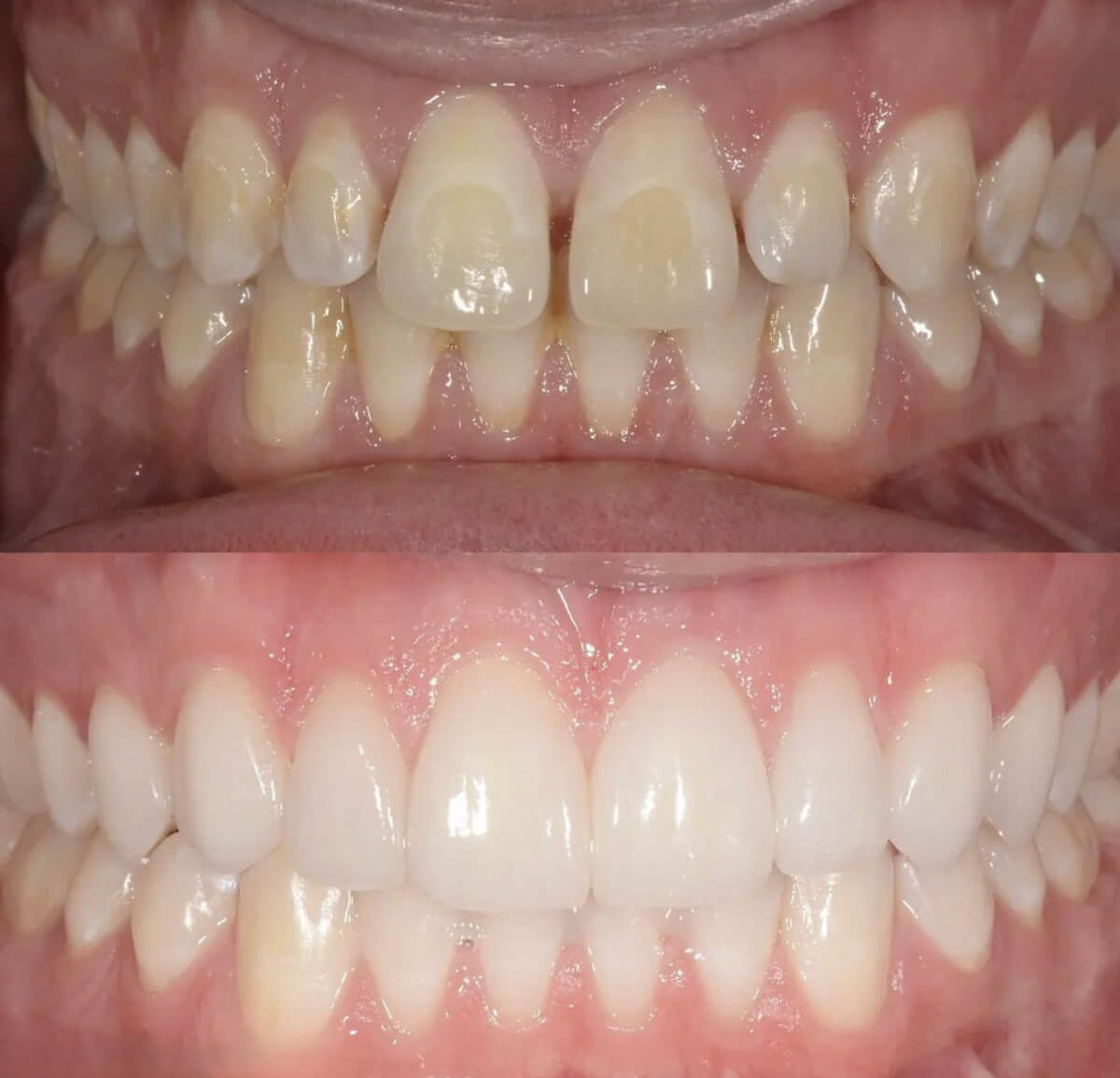
Estetika nejvyšší úrovně
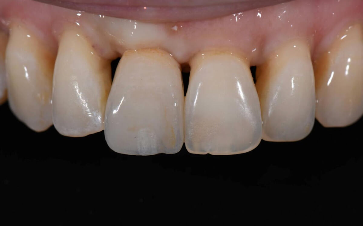
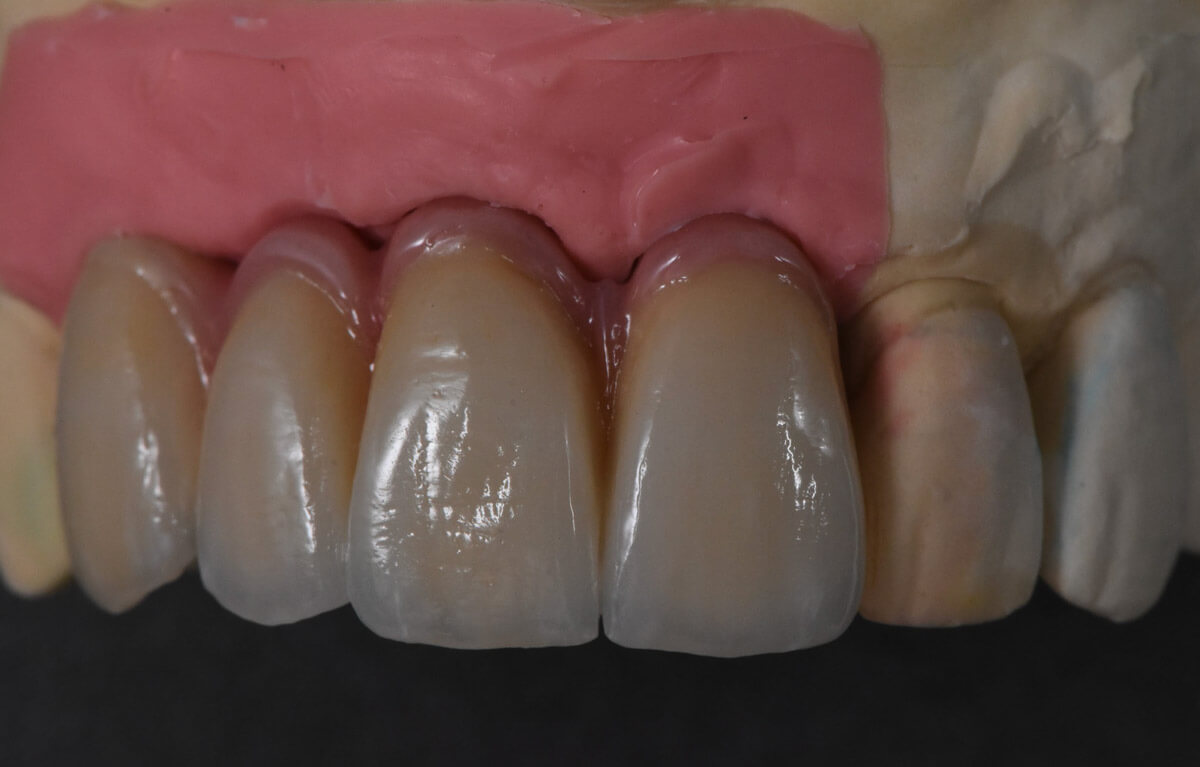
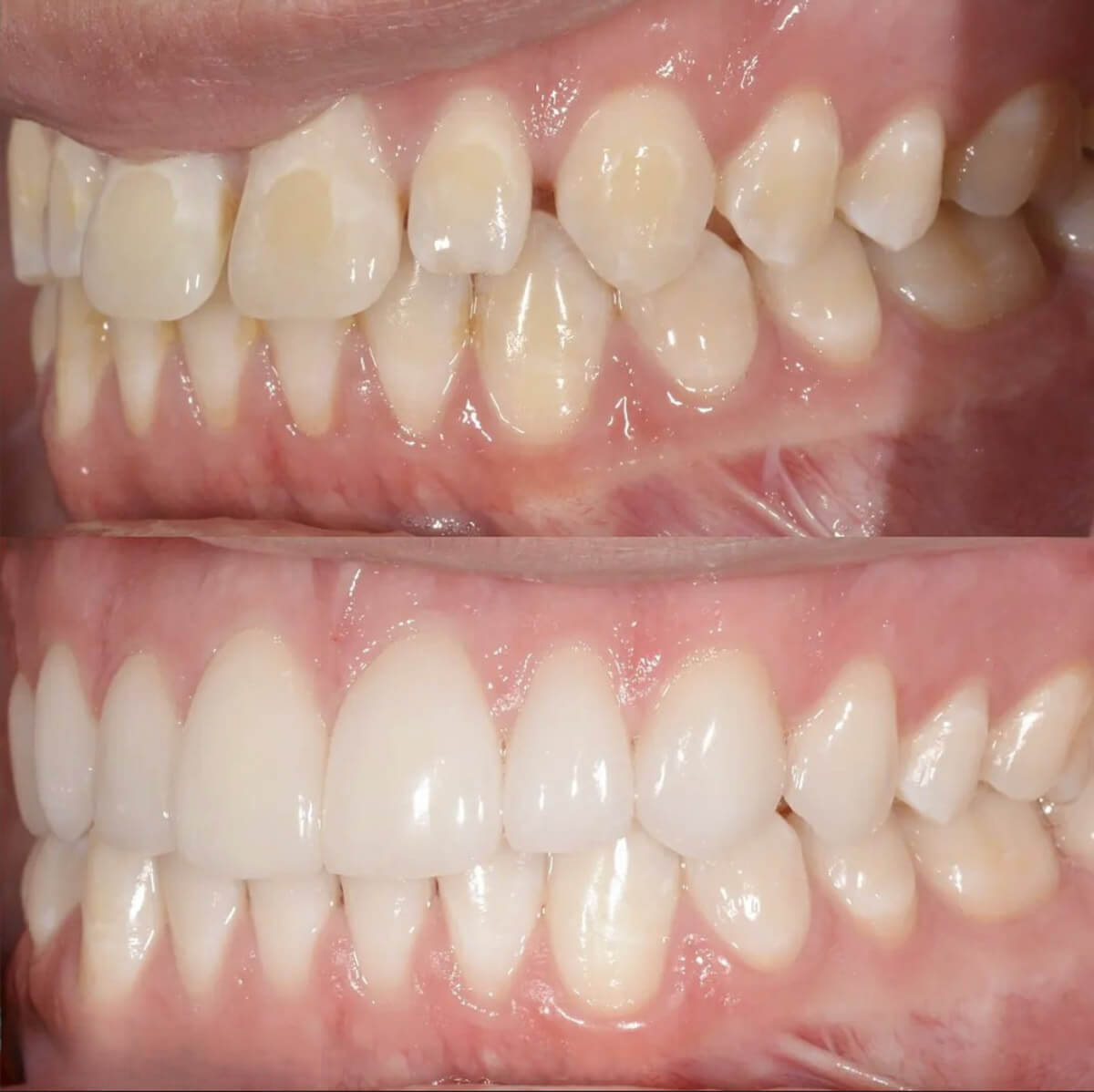
Frontální zuby
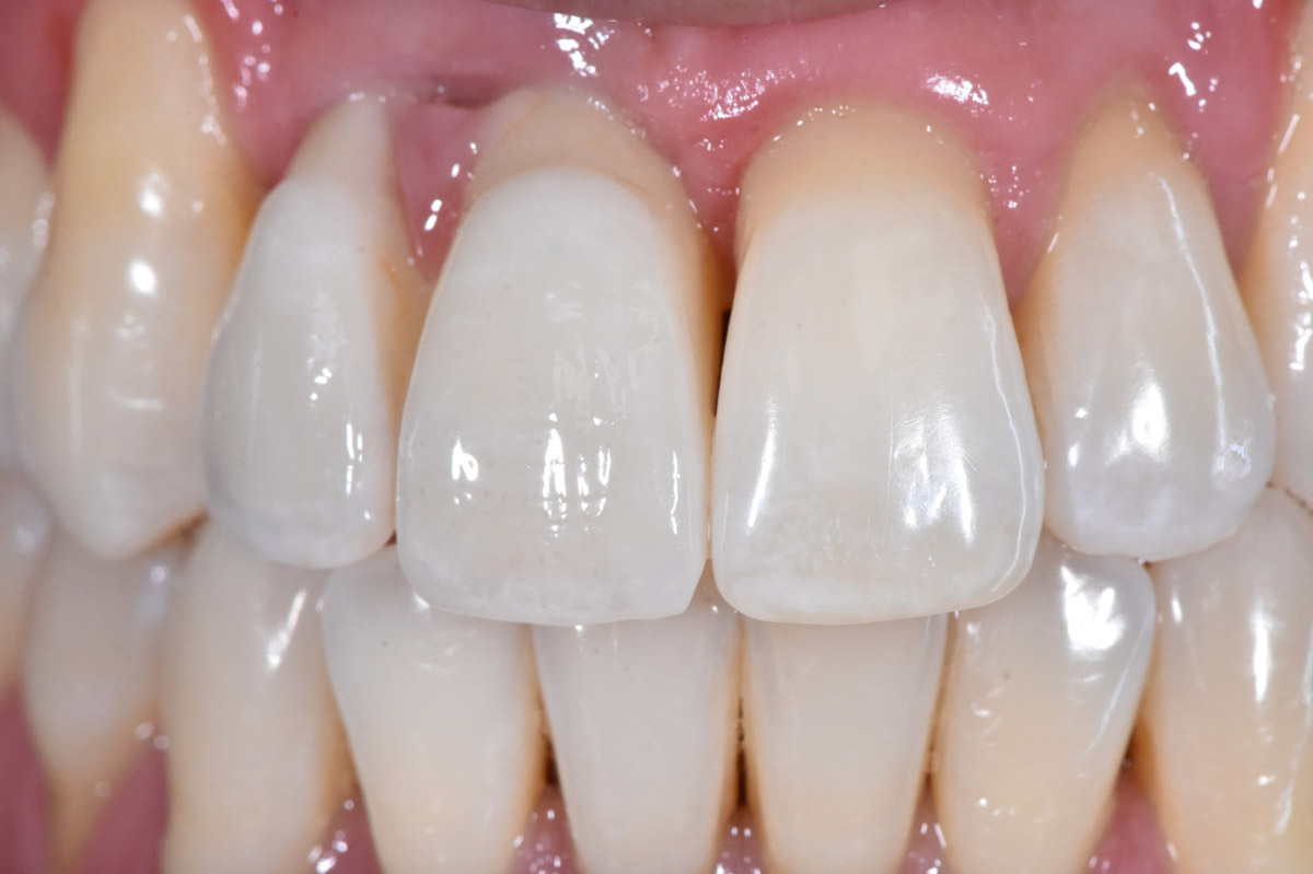
Implanárová korunka 11
Fasety
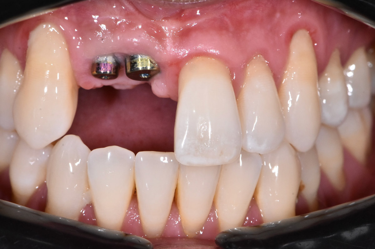
Implantátové korunky - Branemark
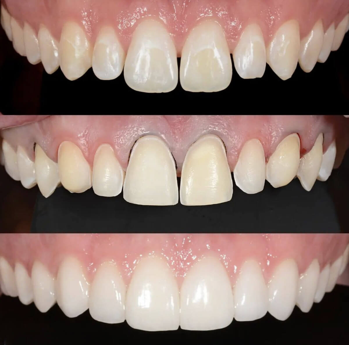
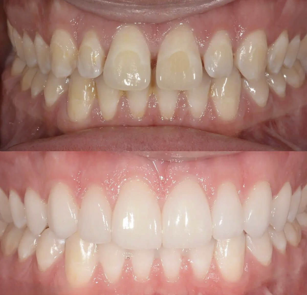
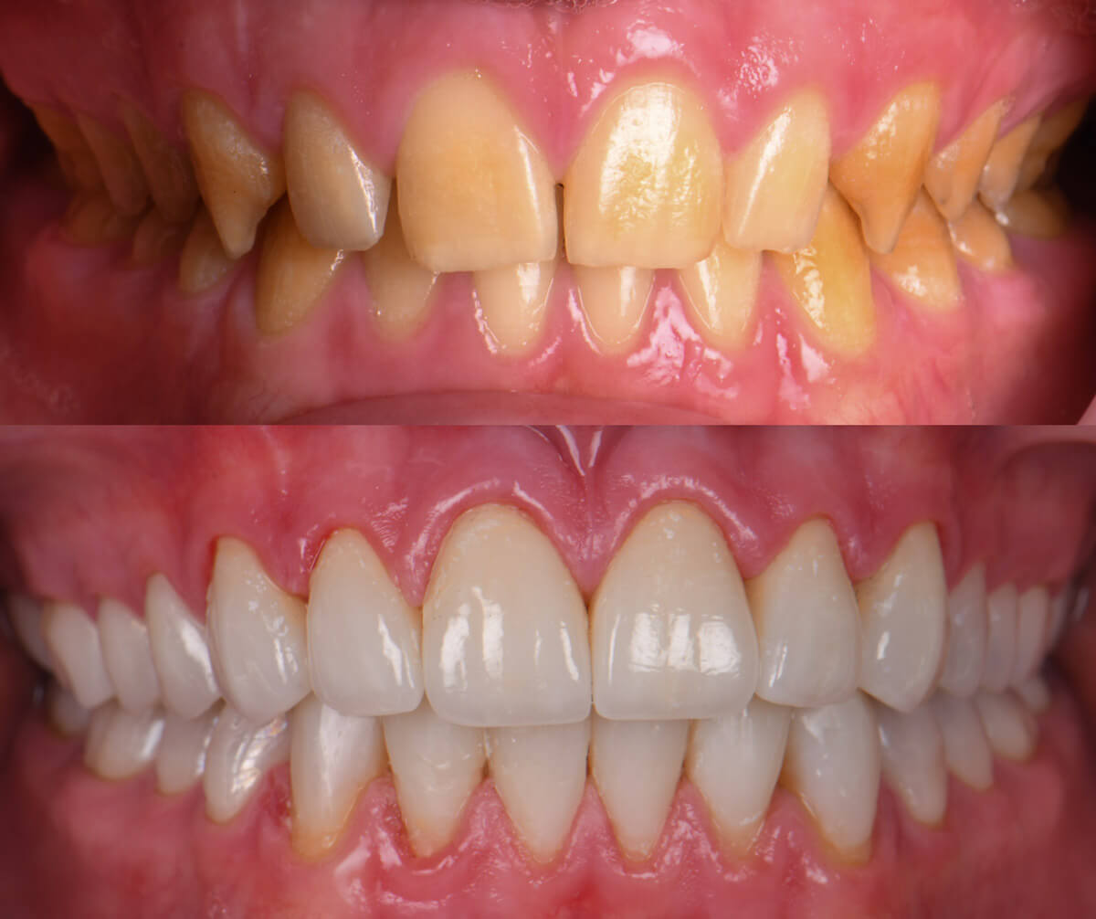
Příklady "před/po"
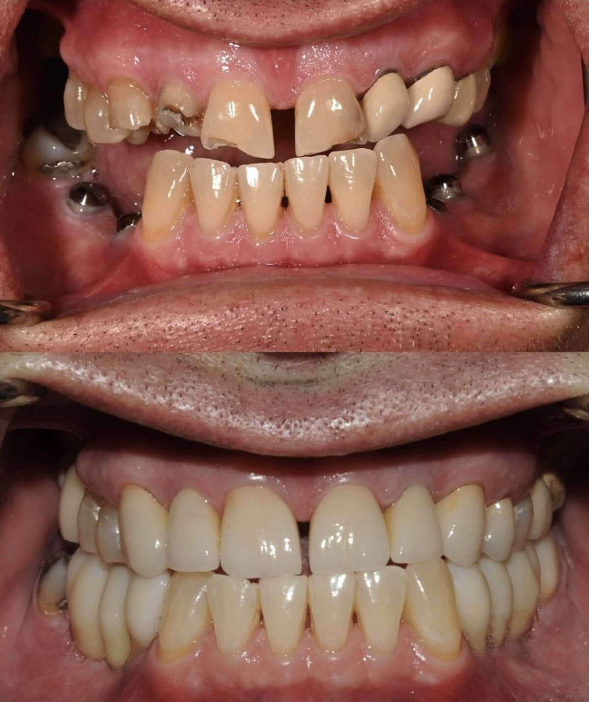
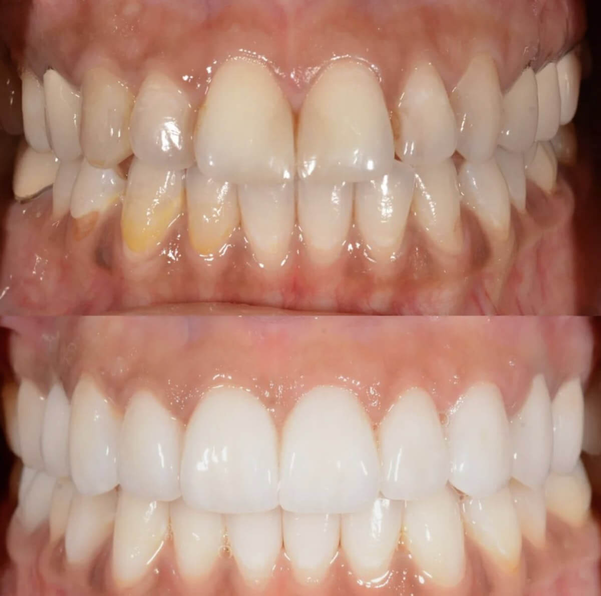
Příklady "před/po"
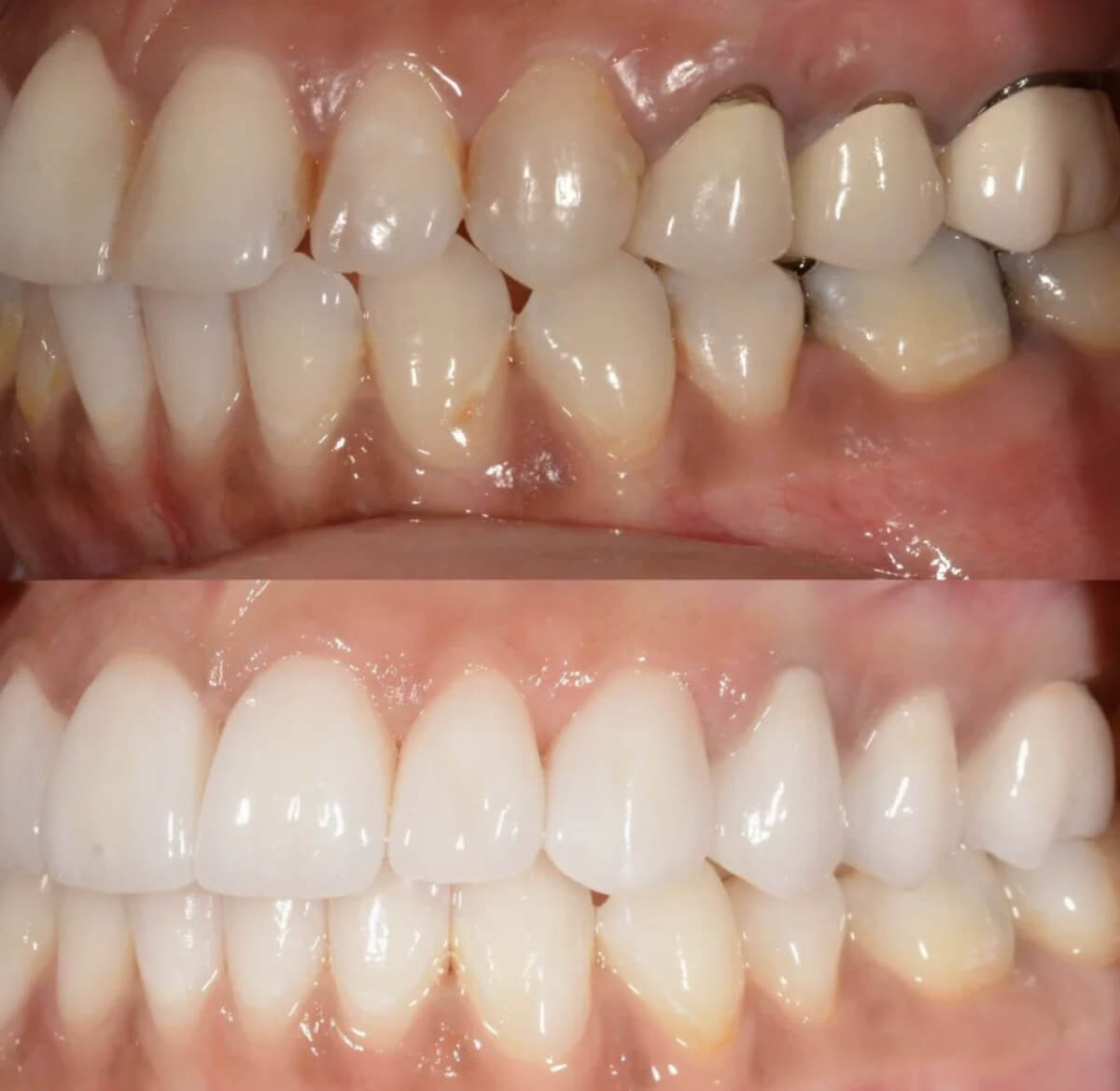
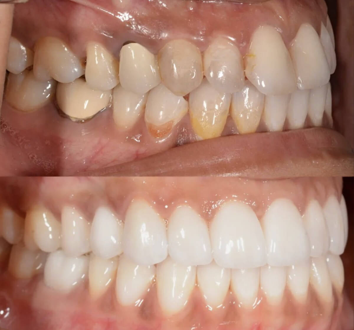
Příklady "před/po"
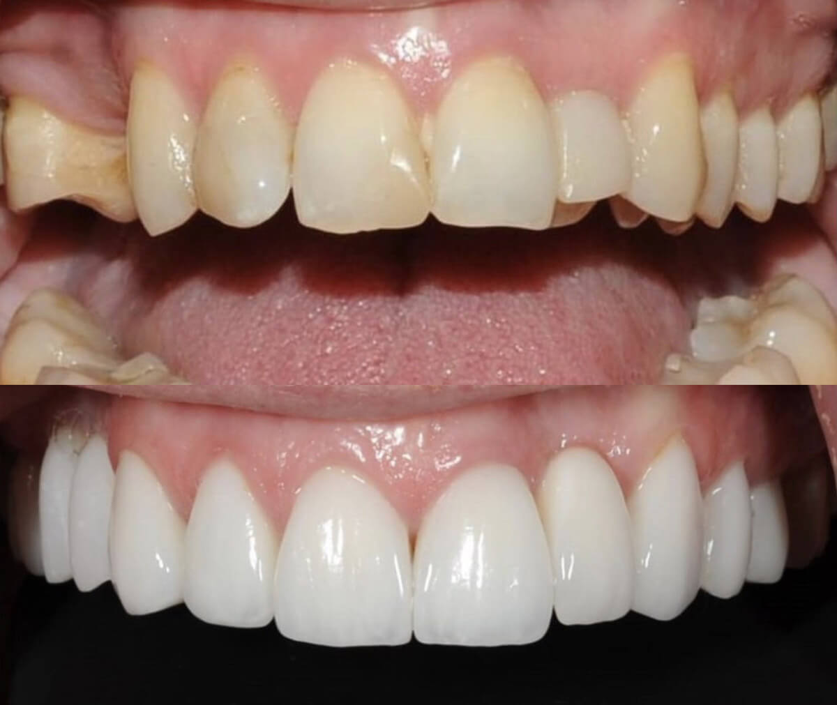
Příklady "před/po"
Příklady "před/po"
Příklady "před/po"
Implantátové korunky - Branemark




































